Web Analytics Made Easy - Statcounter
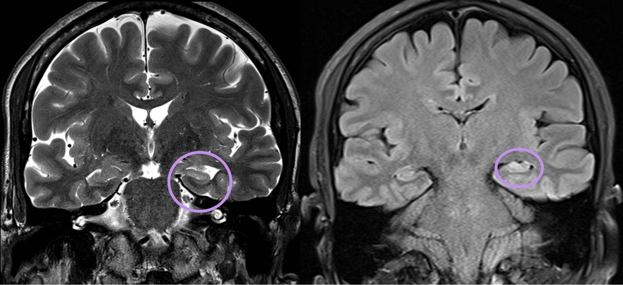
what happens if the hippocampus is damaged What happens when a neurosurgeon removes your hippocampus

what happens if the hippocampus is damaged What happens when a neurosurgeon removes your hippocampus

Pin by glenn kageyama on limbic system

If you are looking for Explainer: what happens in the hippocampus? you've came to the right place. We have 35 Pics about Explainer: what happens in the hippocampus? like What Happens if The Hippocampus is Damaged? 4 Effects on You, Function of Hippocampus|What Happens if Hippocampus Gets Damaged? and also Hippocampus: What Is It, Location, Function, and More. Here it is:

Explainer: What Happens In The Hippocampus?

Explainer: what happens in the hippocampus? theconversation.com

hippocampus explainer seahorse

Explainer: What Happens In The Hippocampus?

Explainer: what happens in the hippocampus? theconversation.com

hippocampus what

Results Of Nissl‐stained Cell Number In The Hippocampal CA1 Region

Results of Nissl‐stained cell number in the hippocampal CA1 region www.researchgate.net

Nootropics As Dopamine Supplements - Nourishing A Key Brain Chemical

Nootropics as Dopamine Supplements - Nourishing a Key Brain Chemical www.mindlabpro.com

dopamine brain nootropics chemical supplements nourishing performance key cognition

Damage To The Thalamus If This Part Of The Brain Is Damaged, All

Damage to the Thalamus If this part of the brain is damaged, all www.pinterest.com

thalamus facts psychology slideshare saved reticular formation brain

Early Brain Mapping: Phrenology - Ppt Download

Early Brain Mapping: Phrenology - ppt download slideplayer.com

Pin On Health

Pin on Health www.pinterest.com

dementia alzheimer shrinkage qbi causes alzheimers degeneration severe uq

Hippocampus: What Is It, Location, Function, And More

Hippocampus: What Is It, Location, Function, and More www.simplypsychology.org

Cross Section Through The Brain Showing The Limbic System And All

Cross section through the brain showing the limbic system and all www.pinterest.com

limbic structures

Aaron Rutman, MD On Twitter: "7/8..Note The Hippocampus Is Somewhat

Aaron Rutman, MD on Twitter: "7/8..Note the hippocampus is somewhat twitter.com

Figures And Data In Human Hippocampal CA3 Damage Disrupts Both Recent

Figures and data in Human hippocampal CA3 damage disrupts both recent elifesciences.org

What Happens When A Neurosurgeon Removes Your Hippocampus | WIRED

What Happens When a Neurosurgeon Removes Your Hippocampus | WIRED www.wired.com

hippocampus happens

Frontal Lobe Damage: Symptoms, Cause, Diagnosis, Treatment

Frontal Lobe Damage: Symptoms, Cause, Diagnosis, Treatment www.verywellhealth.com

lobe frontal lobes symptoms temporal verywellhealth diaz diagnosis parietal verywell

What Happens If Amygdala Is Damaged? And It’s Link With Klüver-Bucy

What happens if amygdala is damaged? and it’s link with Klüver-Bucy www.pinterest.com

amygdala what brain location do damaged limbic does system function anatomy wallpapers human happens body choose board contents

What Happens When A Neurosurgeon Removes Your Hippocampus | WIRED

What Happens When a Neurosurgeon Removes Your Hippocampus | WIRED www.wired.com

hippocampus neurosurgeon removes cortical consolidation coupling mediates shubhangi wired corbis kene

Hippocampus; Ammon Horn; Cornu Ammonis; Hippocampal Formation; Subiculum

Hippocampus; Ammon Horn; Cornu Ammonis; Hippocampal Formation; Subiculum lookfordiagnosis.com

hippocampus brain human showing cortex amygdala memory diagram part anxiety blood sugar diabetes prefrontal loss neocortex frontal levels affect can

What Happens When You Remove The Hippocampus? - The Mind Voyager

What happens when you remove the hippocampus? - The Mind Voyager www.themindvoyager.com

hippocampus happens memory ted describing

Function Of Hippocampus|What Happens If Hippocampus Gets Damaged?

Function of Hippocampus|What Happens if Hippocampus Gets Damaged? www.epainassist.com

hippocampus function what if damaged brain happens gets

17 Best Images About HIPPOCAMPUS On Pinterest | Pineal Gland, Texts And

17 Best images about HIPPOCAMPUS on Pinterest | Pineal gland, Texts and www.pinterest.com

carotis interna arteria von hippocampus anatomie medizin gland anatomy

Hippocampus Clubhouse On IG! | Dog Names, Hugo, Brave

Hippocampus Clubhouse on IG! | Dog names, Hugo, Brave www.pinterest.com

Alzheimer's Disease.ppt

Alzheimer's Disease.ppt www.slideshare.net

The Brain The Developing Brain Parts Of The Brain & Their Function

The Brain The Developing Brain Parts of the Brain & their Function slideplayer.com

Pin By Glenn Kageyama On Limbic System | Brain Anatomy, Limbic System

Pin by Glenn Kageyama on Limbic system | Brain anatomy, Limbic system www.pinterest.com

limbic system amygdala encephalitis cerebellum brainstem function cerebrum cingulate anatomie basal gyrus ganglia gehirn healthjade damaged

Anesthesia And Surgery Damaged Medial Prefrontal Cortex (mPFC)-dorsal

Anesthesia and surgery damaged medial prefrontal cortex (mPFC)-dorsal www.researchgate.net

Brain Rewires Itself After Damage Or Injury, Life Scientists Discover

Brain rewires itself after damage or injury, life scientists discover newsroom.ucla.edu

hippocampus

Amygdala

Amygdala www.slideshare.net

amygdala

Brain Parts Jeopardy Jeopardy Template

Brain Parts Jeopardy Jeopardy Template jeopardylabs.com

What Happens If The Brain Gets Damaged

What Happens If The Brain Gets Damaged www.slideshare.net

brain damaged cortex

What Happens If The Hippocampus Is Damaged? 4 Effects On You

What Happens if The Hippocampus is Damaged? 4 Effects on You magnifymind.com

How Does Anxiety Affect The Brain - MEDvidi

How Does Anxiety Affect the Brain - MEDvidi medvidi.com

Medulla, Reticular Formation, Thalamus, And Hippocampus | Brain Anatomy

Medulla, Reticular Formation, Thalamus, and Hippocampus | Brain anatomy in.pinterest.com

Amygdala Medical Labeled Vector Illustration. Anatomical Scheme With

Amygdala medical labeled vector illustration. Anatomical scheme with www.pinterest.com

amygdala thalamus cortex labeled

What Is The Function Of The Hippocampus, And What Happens If Our

What is the function of the hippocampus, and what happens if our en.wagner-healthcare.com

Two Mri Images Show The Different Areas Of The Brain And How They Are

two mri images show the different areas of the brain and how they are www.pinterest.ca

brain psychopath scan personality disorders vs person psychopathic psycho nypost article criminal if shows tell child

Alzheimer’s And A Shrinking Hippocampus - On Medicine

Alzheimer’s and a shrinking hippocampus - On Medicine blogs.biomedcentral.com

hippocampus alzheimer medicine

Amygdala what brain location do damaged limbic does system function anatomy wallpapers human happens body choose board contents. Hippocampus neurosurgeon removes cortical consolidation coupling mediates shubhangi wired corbis kene. The brain the developing brain parts of the brain & their function